|
Správne určený dátum ďalšieho ultrazvuku?
|
Pro větší náhled klikněte na obrázek
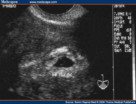
dundusa - 12.9.2011 12:19:34 Dobrý deň! Mám istý problém a rada by som sa spýtala na Váš názor. Tento mesiac 7. 9. 2011 som bola u gynekologičky na ultrazvuk a odber krvi, keďže som tehotná. Podľa výpočtu od poslednej menštruácie som bola vtedy v 5 tt + 4. Lekárka na ultrazvuku videla už embrionálne štruktúry, vyzeralo to ako bublinka (asi tak ako na priloženej fotografii - nie je to však môj ultrazvuk, len na porovnanie). Vystavila mi tehotenský preukaz, povedala mi, aby som sa objednala v októbri na integrované testy a ďalšiu návštevu, teda aj ďalší ultrazvuk mi dala až 10.10. 2011, čo budem už v 10 tt + 2! Podľa môjho názoru je to dosť neskoro, veď srdiečko vidno biť oveľa skôr, už vraj v 7 tt a ja mám prísť až tak neskoro? Čo ak srdiečko biť nebude a ja budem nosiť mŕtvy plod? Je takýto postup gynekologičky správny? Už som po jednom missed abort (zamlčanom potrate) z roku 2010 a chcem sa vyvarovať možných rizík. Ďakujem Vám za radu. S pozdravom Zuzana
|
Odpověď zdravotníka na dotaz: Správne určený dátum ďalšieho ultrazvuku?
Tak lekárku požiadajte o kontrolný UZ za dva týždne. V minulosti sa ale na prvú kontrolu a potvrdenie tehotenstva chodilo taký 8 až 10tt, kedy sa naplánovali odbery a urobil prvý screeningový UZ. Vzhľadom na vaše zlé skúsenosti z predchádzajúceho tehotenstva absolvujte UZ kontrolu za dva týždne, aby ste sa sama presvedčila o tom, že všetko je v poriadku a plod prosperuje. Vaša lekárka by mala brať do úvahy vašu minulosť a obavy s tým spojené.
|
Odpovědi návštěvníků stránek:
12.9.2011 12:50:36 Myslím, že přeháníte. Pokud Vám vaše lékařka nevyhovuje, jděte k jiné.
Nati - 12.9.2011 13:28:49 ahoj nemusis cakat do vtedy ak budes chciet tak chod ku nej okolo 8tt a ked si zaplatis ti urobi ultrazvuk a budes kludna chapem tvoje obavy ale netreba mysliet na to najhorsie uvidis budes mat krasne tehulkovanie ;)
12.9.2011 15:16:17 Ja netvrdím, že mi nevyhovuje moja lekárka. Nikdy som nepochybovala o jej rozhodnutiach, práve preto som teraz napísala tu, lebo týmto si nie som istá...Ak by mi lekárka nevyhovovala, tak na to, aby som išla k inej by som si radu nepýtala... NATI - ďakujem pekne za názor, a za pochopenie samozrejme. Veľmi si to vážim.Mám známu, čo také niečo zažila, že nemala príznaky potratu a nosila istý čas mŕtvy plod, takže je podľa mňa na mieste, ak sa o tom informujem, pokiaľ sa to môže týkať aj mňa.
Máte zdravotní problémy? Sdělte nám své příznaky - Pomůže vám naše poradna.
|
Diskuze: otázky a odpovědi, zkušenosti a poradenství k Správne určený dátum ďalšieho ultrazvuku? - Diskuze je prázdná – vložte svou zkušenost nebo vložte svůj dotaz jako první
Vaše zkušenost/Komentář/Dotaz týkající se Správne určený dátum ďalšieho ultrazvuku?
|
NEPOSKYTUJEME ZDRAVOTNÍ PORADENSTVÍ.
Naše online poradna je určena pro všechny pacienty,
užívající některý z léčivých přípravků, pouze pro obecné informační účely.
Poradna v žádném případě neslouží jako náhrada odborné lékařské péče.
Poradna pomáhá se správným užíváním léčivých přípravků,
odhalit vzájemnou nesnášenlivost léčiv, při snížení výskytu nežádoucích,
vedlejších účinků léčiv a jako osvěta a zdroj informací.
Pokud si myslíte, že potřebujete lékařkou pomoc, okamžitě zavolejte svého lékaře nebo vytočte číslo 155.
|
|
|
|
|
| Aktuální diskuze - LÉKY |
Nejnovější příspěvky v diskuzi:
Prestance 5mg/5mg - PRESTANCE 5 MG/5 MG 20 Tablety Vložil: Jiří 2026-02-17 10:38:29
Dobrý den,
mohu brát idoplněk stravy DIABEN na stabilizaci krevního cukru, který bohužel obsahuje skořici ? Někde jsem četl, že skořice vadí PRESTANCE.
Díky za vysvětlení.Jirka... Zaldiar 20 neblahe ucinky - ZALDIAR 20 Potahované tablety Vložil: Markéta 2026-01-08 05:23:22
Měla jsem Zaldiar 20 po něm jsem mela akorát těstoviny s míchaných vajíčky šunkou parmezanem, po tem jsem vlezla do vany okamžitě se mi udělala vyrážka od kolen dolů která neskutečně pálila musela jsem z vany vylest bolesti sem brečela cítila jsem jak mi nohy... Houbove quarteto - TEREZIA COMPANY Houbové quarteto 100% houbový přípravek 60 kapslí Vložil: Katka Mašková 2025-11-24 17:28:12
Dobrý den,
Ráda bych se zeptala, zda je vhodné brát houbove quarteto s antidepresivy.
Děkuji velice ... Afluditen - AFLUDITEN 25 MG/ML 5X1ML/25MG Injekční roztok Vložil: Andrea Krulová 2025-11-12 12:05:01
Dobrý den můžu vědět jak přesně vám zničil život ? Protože mojí mamce taky,děkuji moc za odpověď ... Dávkování - SYNULOX 250 A.U.V. TBL 500 Vložil: Markéta 2025-11-02 16:45:21
Dobrý den, můj pes dostal antibiotika Synulox 250mg. První dávku dostal v 12h další v 24h. Je možné dávkování převést na 6:30h a 18:30h bezpečné jednorázově? Jestezbere večer Medrol.
Děkuji za odpověď.... |
| Aktuální diskuze - NEMOCI |
Nejnovější příspěvky v diskuzi:
akné na penisu - Pupínky u ochlupení Vložil: Luboš 2025-11-29 18:24:24
Akné a folikulitidou trpím dlouhodobě, lékaři odmítají řešit příčinu, to nemá smysl. Ale na penisu se mi dříve pupínky objevily vždy pouze po holení. Nyní jsem se dlouho neoholil a z ničeho nic se mi objevil na údu malý bílý pupínek s lehce červeným oko... Dostal som od Dr. Sacreho najlepší liek na zväčšenie penisu a problémy s neplodnosťou. - Prodloužení penisu Vložil: Jones 2025-08-15 14:55:53
Dostal som od Dr. Sacreho najlepší liek na zväčšenie penisu a problémy s neplodnosťou.
Pán Jones, som veľmi ohromený výsledkami bylinného lieku Dr. Sacreho! Môj penis je viditeľne väčší a hrubší a moja sebadôvera v spálni prudko vzrástla. Zlepšenie môj... Červené boláčky - Vyrážka / bradavičky na žaludu Vložil: Oto12 2025-05-28 01:00:42
Dobrý den,uz delší dobu se mi dělají červené pupínky boláčky nijak nebolí a necítím je.
Po pohlavním styku mam žalud načervenaly a pupínky jsou výraznější zenu po pohlavním styku nic ne náplní nesvědi žádné problémy nema dekuji za odpověď ... - Cysta na mozku miminka? Vložil: Monika Kelnarova 2025-05-02 17:07:13
Dobry den,chci se zeptat na ultrazvuku mi zjistili ze miminko ma na mozku cystu choroidalniho plexu v levo i vpravo,se chci zeptat co to znamena a zda za jak dlouho to zmizi a zda to neni vazny děkuji Kelnarova ... Výrůstky - Hirsuties papillaris/HPV Vložil: Martin 2025-04-21 16:18:15
... |
|
ABC-LEKARNA.cz - Online poradna, zkušenosti a recenze pacientů s užíváním léčivých přípravků, jaký lék nejlépe zabírá na Vaše nemoci a vedlejší nežádoucí účinky. Informační web o lécích na předpis, volně prodejných lécích a doplňcích.
Pokud si myslíte, že potřebujete lékařkou pomoc, okamžitě kontaktujte svého lékaře nebo vytočte číslo 155.
Informace zde zveřejněné jsou pouze obecné a nejesou náhradou odborné lékařské pomoci, diagnózy nebo léčby!
sitemap.txt
|